单克隆抗体
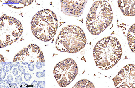
EFHD1 (5C10) Mouse mAb (AB3521)
UniProt:Q9BUP0
Application:WB,IHC,ICC/IF
Reactivity:Human,Mouse,Rat
Source:Mouse mAb
EFHD1 (5C10) Mouse mAb (AB3521)
UniProt:Q9BUP0
Application:WB,IHC,ICC/IF
Reactivity:Human,Mouse,Rat
Source:Mouse mAb
http://www.abways.cn/showproduct.asp?cid=AB3521
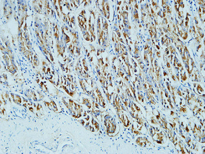
CD16 (9G6) Mouse mAb (AB3522)
UniProt:P08637
Application:WB,IHC
Reactivity:Human
Source:Mouse mAb
http://www.abways.cn/showproduct.asp?cid=AB3522
MonoMethyl-Histone H3 (Lys79) (4A1) Mouse mAb (AB3523)
UniProt:P68431
Application:WB
Reactivity:Human,Mouse,Rat
Source:Mouse mAb
MonoMethyl-Histone H3 (Lys79) (4A1) Mouse mAb (AB3523)
UniProt:P68431
Application:WB
Reactivity:Human,Mouse,Rat
Source:Mouse mAb
http://www.abways.cn/showproduct.asp?cid=AB3523
DiMethyl-Histone H3 (Lys27) (5F6) Mouse mAb (AB3525)
UniProt:P68431
Application:WB,ICC/IF,IP
Reactivity:Human,Mouse,Rat
Source:Mouse mAb
DiMethyl-Histone H3 (Lys27) (5F6) Mouse mAb (AB3525)
UniProt:P68431
Application:WB,ICC/IF,IP
Reactivity:Human,Mouse,Rat
Source:Mouse mAb
http://www.abways.cn/showproduct.asp?cid=AB3525
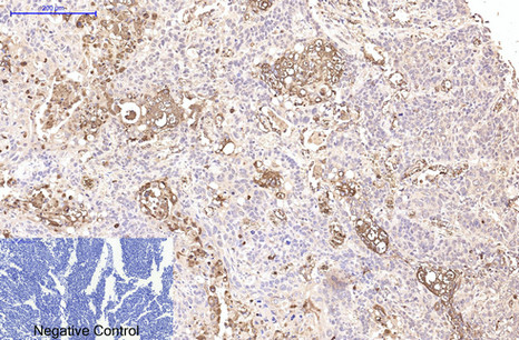
CD15 (8C10) Mouse mAb (AB3526)
UniProt:P22083
Application:IHC,ICC/IF
Reactivity:Human
Source:Mouse mAb
CD15 (8C10) Mouse mAb (AB3526)
UniProt:P22083
Application:IHC,ICC/IF
Reactivity:Human
Source:Mouse mAb
http://www.abways.cn/showproduct.asp?cid=AB3526



















销售咨询
一键电话