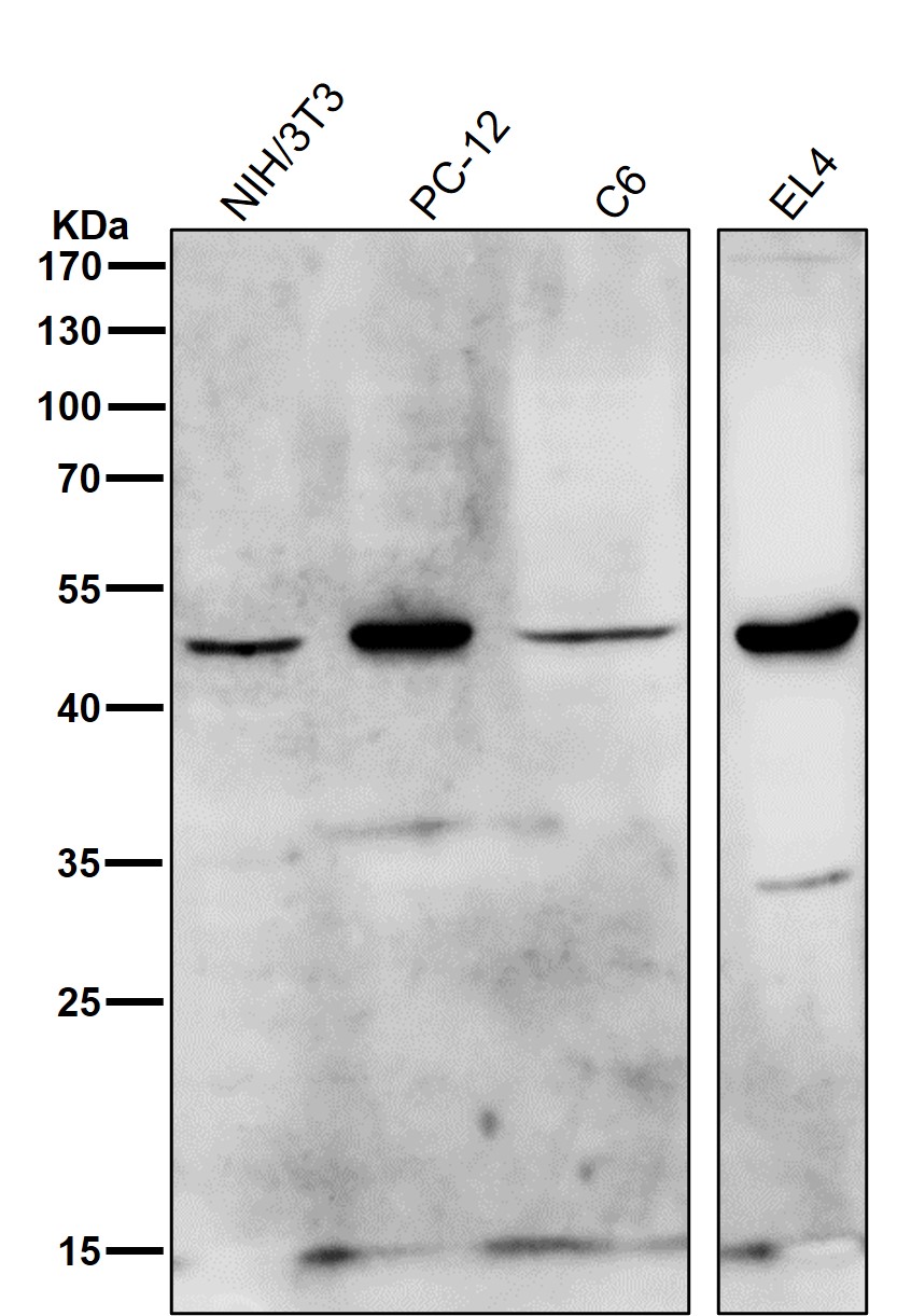
单克隆抗体

HDAC11 Antibody (CY5033) 

UniProt:Q96DB2
Application:WB,IP
Reactivity:Human
Source:Rabbit mAb
HDAC11 Antibody (CY5033)
UniProt:Q96DB2
Application:WB,IP
Reactivity:Human
Source:Rabbit mAb
http://www.abways.cn/showproduct.asp?cid=CY5033

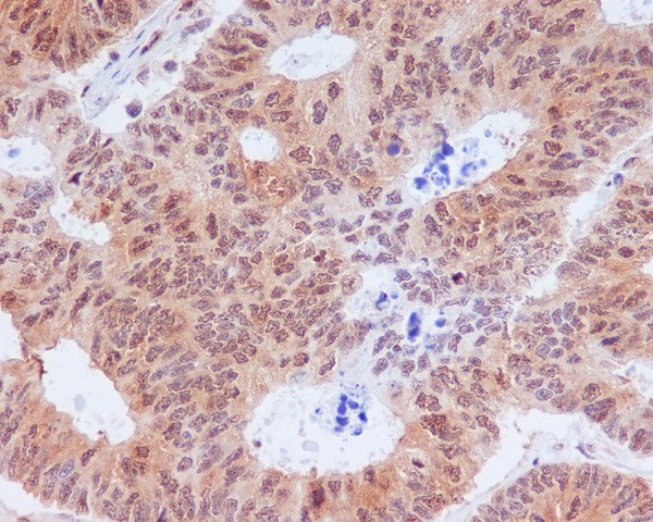
NF-κB p65 Antibody (CY5034) 

References 10
UniProt:Q04206
Application:WB,IHC,ICC/IF,IP,FC
Reactivity:Human,Mouse
Source:Rabbit mAb
NF-κB p65 Antibody (CY5034)
UniProt:Q04206
Application:WB,IHC,ICC/IF,IP,FC
Reactivity:Human,Mouse
Source:Rabbit mAb
References(10)
http://www.abways.cn/showproduct.asp?cid=CY5034

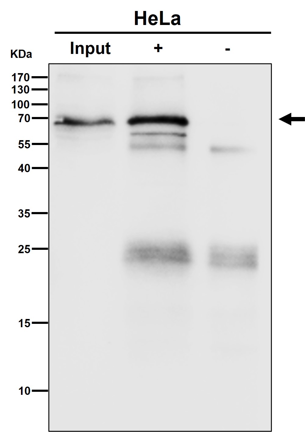
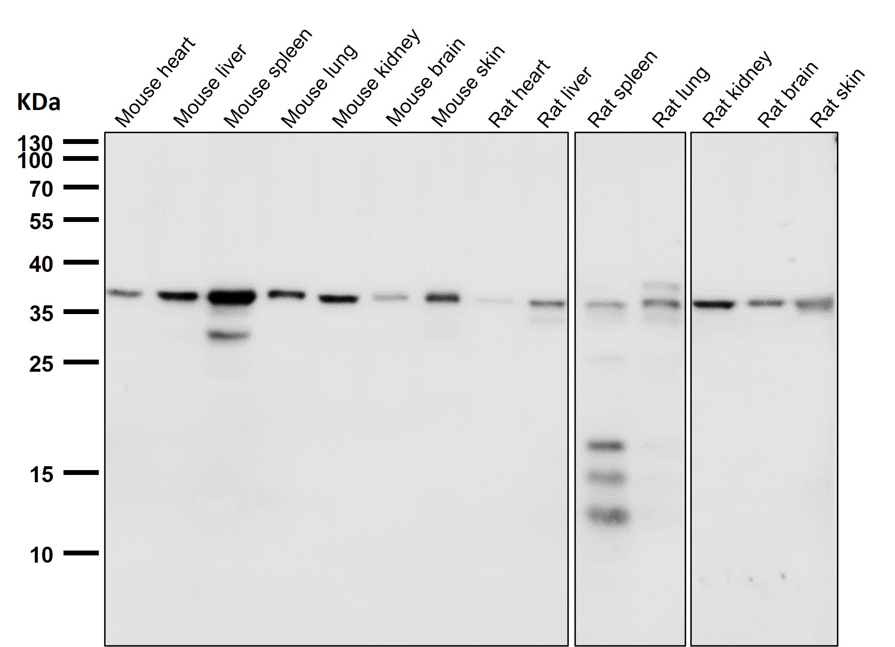
Cleaved PARP Antibody (CY5035) 

References 7
UniProt:P09874
Application:WB,IHC
Reactivity:Human,Mouse,Rat
Source:Rabbit mAb
Cleaved PARP Antibody (CY5035)
UniProt:P09874
Application:WB,IHC
Reactivity:Human,Mouse,Rat
Source:Rabbit mAb
References(7)
http://www.abways.cn/showproduct.asp?cid=CY5035

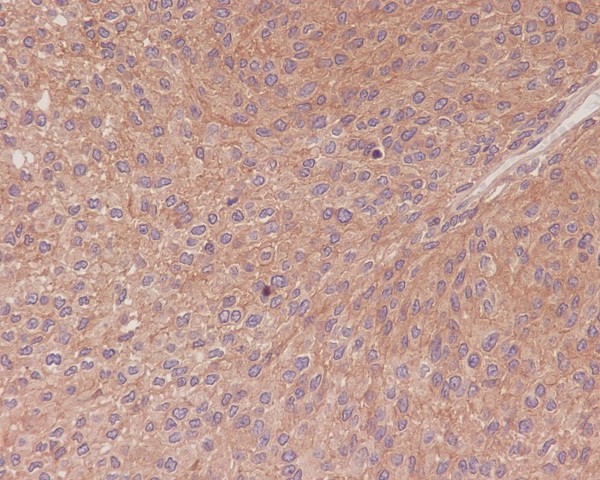
Phospho-eIF2 alpha (Ser51) Antibody (CY5036) 

References 1
UniProt:P05198
Application:WB,IHC,ICC/IF,FC
Reactivity:Human,Mouse,Rat
Source:Rabbit mAb
Phospho-eIF2 alpha (Ser51) Antibody (CY5036)
UniProt:P05198
Application:WB,IHC,ICC/IF,FC
Reactivity:Human,Mouse,Rat
Source:Rabbit mAb
References(1)
http://www.abways.cn/showproduct.asp?cid=CY5036

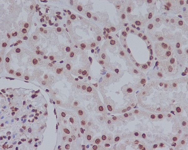
ATF2 Antibody (CY5037) 

References 1
UniProt:P15336
Application:WB,IHC,ICC/IF,IP
Reactivity:Human
Source:Rabbit mAb
ATF2 Antibody (CY5037)
UniProt:P15336
Application:WB,IHC,ICC/IF,IP
Reactivity:Human
Source:Rabbit mAb
References(1)
http://www.abways.cn/showproduct.asp?cid=CY5037