单克隆抗体
Lamin A Mouse mAb (AB3303)
UniProt:P02545
Application:WB
Reactivity:Human,Mouse,Rat
Source:Mouse mAb
Lamin A Mouse mAb (AB3303)
UniProt:P02545
Application:WB
Reactivity:Human,Mouse,Rat
Source:Mouse mAb
http://www.abways.cn/showproduct.asp?cid=AB3303
BRG1 Mouse mAb (AB3305)
UniProt:P51532
Application:WB,ICC/IF,IP
Reactivity:Human,Mouse
Source:Mouse mAb
BRG1 Mouse mAb (AB3305)
UniProt:P51532
Application:WB,ICC/IF,IP
Reactivity:Human,Mouse
Source:Mouse mAb
http://www.abways.cn/showproduct.asp?cid=AB3305
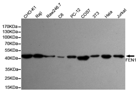
FEN-1 Mouse mAb (AB3306)
UniProt:P39748
Application:WB,ICC/IF
Reactivity:Human,Mouse,Rat,Monkey,Hamster
Source:Mouse mAb
FEN-1 Mouse mAb (AB3306)
UniProt:P39748
Application:WB,ICC/IF
Reactivity:Human,Mouse,Rat,Monkey,Hamster
Source:Mouse mAb
http://www.abways.cn/showproduct.asp?cid=AB3306
FEN-1 Mouse mAb (AB3307)
UniProt:P39748
Application:WB,IP
Reactivity:Human,Mouse,Rat
Source:Mouse mAb
FEN-1 Mouse mAb (AB3307)
UniProt:P39748
Application:WB,IP
Reactivity:Human,Mouse,Rat
Source:Mouse mAb
http://www.abways.cn/showproduct.asp?cid=AB3307
DDX3 Mouse mAb (AB3308)
UniProt:O00571
Application:WB,ICC/IF,IP
Reactivity:Human,Rat,Mouse,Monkey
Source:Mouse mAb
DDX3 Mouse mAb (AB3308)
UniProt:O00571
Application:WB,ICC/IF,IP
Reactivity:Human,Rat,Mouse,Monkey
Source:Mouse mAb
http://www.abways.cn/showproduct.asp?cid=AB3308














销售咨询
一键电话